ВОРОНЕЖ
ПЕРЕУЛОК БОТАНИЧЕСКИЙ 47А
ПН-ПТ 9.00-21.00  СБ-ВС 10.00-15.00
БЕСПЛАТНАЯ КОНСУЛЬТАЦИЯ
ОТВЕТИМ НА
ВАШИ ВОПРОСЫ

Профессиональное отбеливание зубов с использованием системы FLÄSH

Записаться на приём

Профессиональное отбеливание зубов с использованием системы FLÄSH

Записаться на приём
Отбеливающая процедура для зубов на базе профессиональной системы FLÄSH
Отбеливающая процедура для зубов на базе профессиональной системы FLÄSH

FLÄSH — это клинически проверенная технология, использующая специальный свет и отбеливающий гель. Процедура проходит под контролем врача и не повреждает эмаль. Уже через час ваши зубы становятся гораздо белее, а улыбка — ярче и выразительнее.

Как проходит отбеливание FLÄSH

Процедура включает несколько аккуратных и точных этапов:

Оценка цвета зубов
Врач определяет исходный оттенок и прогнозирует результат.

Профессиональная подготовка
Зубы очищают от мягкого налёта и камня — это повышает эффективность отбеливания.

Нанесение отбеливающего геля
Используется профессиональный состав на основе перекиси водорода или карбамида (15–35%).

Активация системой FLÄSH
Специальная лампа излучает безопасный синий свет 400–500 нм, который активирует гель и запускает процесс осветления.

Выдержка 15–30 минут
Врач контролирует процесс и при необходимости корректирует интенсивность.

Завершение процедуры
Гель смывается, оценивается результат — он виден сразу.

  • Заметное осветление зубов за 1 сеанс
  • Эффект натуральной белизны
  • Безопасная технология, не травмирующая эмаль
  • Быстрый и предсказуемый результат
Клиника «Премиум» предлагает профессиональное отбеливание зубов с помощью системы FLÄSH —
процедура занимает около часа и дарит улыбке свежесть, яркость и уверенность.
ПРАЙС-ЛИСТ
1

Фиксированная цена на услуги

2

Профессиональная гигиена полости рта - 5500 ₽

3

Отбеливание зубов система Flash (Германия) - 22000 ₽ (̶3̶5̶0̶0̶0̶ ₽)

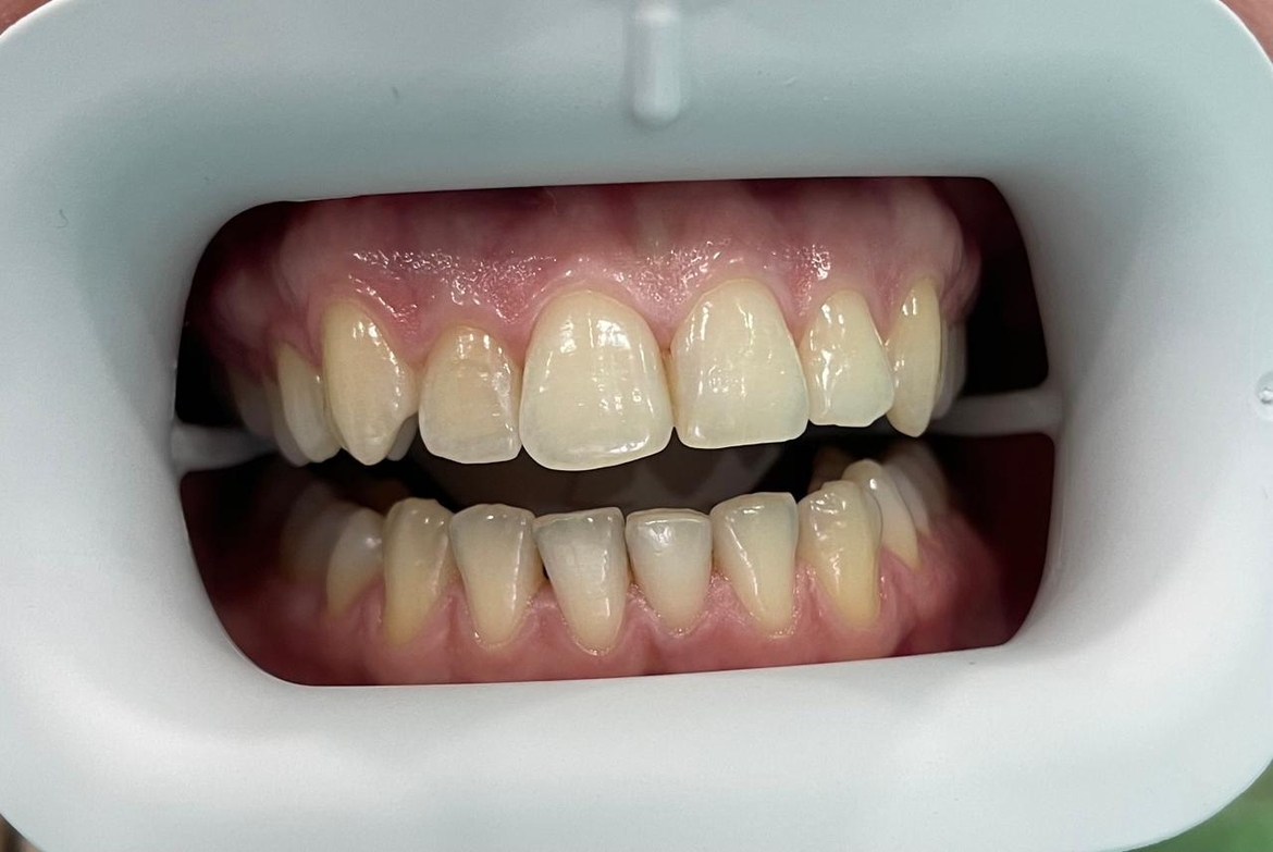
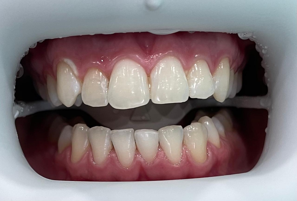
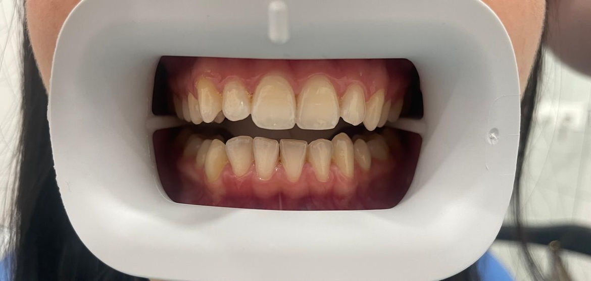
Результаты процедур
До
После
До
После
До
После
До
После
До
После

Валынов Антон Сергеевич

Кандидат медицинских наук, доцент
Стаж - 10 лет

Валынова Кристина Викторовна

Врач терапевт/гигиенист
Стаж - 3 года

Оганнисян Тигран Артемович

Врач стоматолог хирург
Стаж - 3 года

Крючков Михаил Анатольевич

Врач стоматолог хирург, кандидат медицинских наук, доцент. Стаж 16 лет
Все наши сотрудники регулярно проходят обучение и повышают квалификацию на профильных мастер-классах и международных конференциях, чтобы всегда быть в курсе новейших тенденций и технологий в стоматологии.

Команда клиники «Премиум» — это опытные ортопеды, имплантологи и другие специалисты с глубокими теоретическими знаниями и обширным практическим опытом.

Оснащение нашей клиники современным оборудованием и передовыми материалами позволяет врачам обеспечивать лечение на высочайшем уровне, делая его не только эффективным, но и комфортным и безопасным для каждого пациента.
Отзывы наших клиентов
Отзывы наших клиентов
Новые кабинеты
оборудованные лучшим оборудованием Европы
Врачи высшей квалификации 
ортопед, хирург, стоматолог общей практики
Fläsh.
 современная система отбеливания
Остались вопросы?
Наш телефон:
8 (920) 407 44 47
Быстрая связь:
Отзывы о нашей работе:
© ООО "ПРЕМИУМ-МЕД", ИНН:3662305049  2023-2025. Сайт не является публичной офертой и носит информационный характер. Все материалы данного сайта являются объектами авторского права (в том числе дизайн). Запрещается копирование, распространение (в том числе путем копирования на другие сайты и ресурсы в Интернете) или любое иное использование информации и объектов без предварительного согласия правообладателя. *Скидки не суммируются. Скидки не распространяются на имплантации. Персональные скидки предоставляются при предоставление соответствующих удостоверений.
Остались вопросы?
ВОРОНЕЖ
ПЕРЕУЛОК БОТАНИЧЕСКИЙ 47А
8 (920) 407 44 47
Быстрая связь:
Отзывы о нашей работе:
© ООО "ПРЕМИУМ-МЕД", ИНН:3662305049  2023-2025. Сайт не является публичной офертой и носит информационный характер. Все материалы данного сайта являются объектами авторского права (в том числе дизайн). Запрещается копирование, распространение (в том числе путем копирования на другие сайты и ресурсы в Интернете) или любое иное использование информации и объектов без предварительного согласия правообладателя. *Скидки не суммируются. Скидки не распространяются на имплантации. Персональные скидки предоставляются при предоставление соответствующих удостоверений.